放射線室
PET-CT検査
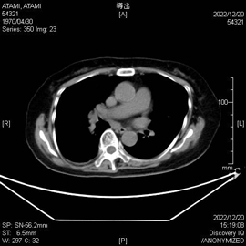
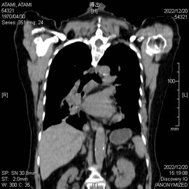
PET-CT検査とはPETとCTを同時に行える検査です。この検査の最大の利点はPET装置とCT装置を一体化することにより、PETの「機能画像」と、CTの「形態画像」を時間差や体位のズレなどがほぼない高精度な融合画像を作成できることです。癌の早期発見、転移・再発の有無、治療効果判定などに大変有効です。
当院のPET検査に使用される薬剤は18F-FDGといって、ブドウ糖に類似したFDGという物質に微量な放射線を出す放射性同位元素を結合させた薬剤です。がん細胞は正常な細胞より3~8倍多くのブドウ糖を取り込むという性質があり、それを利用してFDGの多く集まった部位を画像上で特定します。FDGはブドウ糖の類似体なので薬剤による副作用はほぼありません。
がん治療で最も大事なことは早期発見することであり、PET-CT検査では症状が出る前の早期がんも発見できる可能性があります。
当院では早期発見を目指しPETドックも受け付けていますので、詳しくは当院「予防医学センター」までお問い合わせください。
予防医学センター
TEL 0557-81-9176
(受付時間 9:00~17:00 日祝除く)

通常のCT画像


PET-CTの画像

