放射線室
CT検査
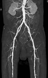
CT検査は体内における各臓器、組織のX線透過量の違いをデータとして収集し、コンピュータで断面像にしています。また、この断面像を細かく収集し積み重ねて画像処理をすることにより、任意の角度から観察することが出来るMPR画像や、3D構築画像を得ることも出来ます。さらに造影剤を使用することによって、血管の3D画像も容易に得ることが出来ます。
当院では、320列と80列の2台のマルチスライスCTにて検査を行っています。
検査時間は撮影部位にもよりますが、単純CT検査で5分程度、造影CT検査では注射も合わせ10~20分程度です。短時間かつ情報量の多い画像が得られるので診断や治療には欠かせない検査です。





