放射線室
マンモグラフィ検査
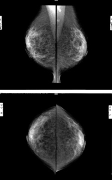
当院のマンモグラフィ装置は1台で、人間ドック・熱海市乳がん検診・外来の全ての撮影を行っています。普通のX線撮影では写らない乳房の乳腺組織や脂肪組織、しこりを判別できるよう専用の機械を用いて乳房を板で挟みます。圧迫するため多少の痛みを伴う検査です。
圧迫することによって乳房の厚みが薄くなるため放射線の被ばくを減らすことができます。また乳腺を薄く伸ばし広げることで病変が写りやすくなるため、適切な圧迫が必要となります。ただしどうしても我慢できない痛みの場合は遠慮せずお声掛けください。
触診で分からないしこりが出来る前の乳がんでは石灰化を伴うことがあります。マンモグラフィはこの石灰化を写し出すことが可能であるため、乳がんの早期発見をすることができます。
当院ではマンモグラフィ検査に関しては全て女性技師が検査を行います。

